Orthodontie & Chirurgie : Une transformation épatante pour cette jeune patiente !
Saviez-vous qu’un problème d’orthodontie détecté suffisamment tôt chez les enfants simplifie et raccourcit le traitement ?
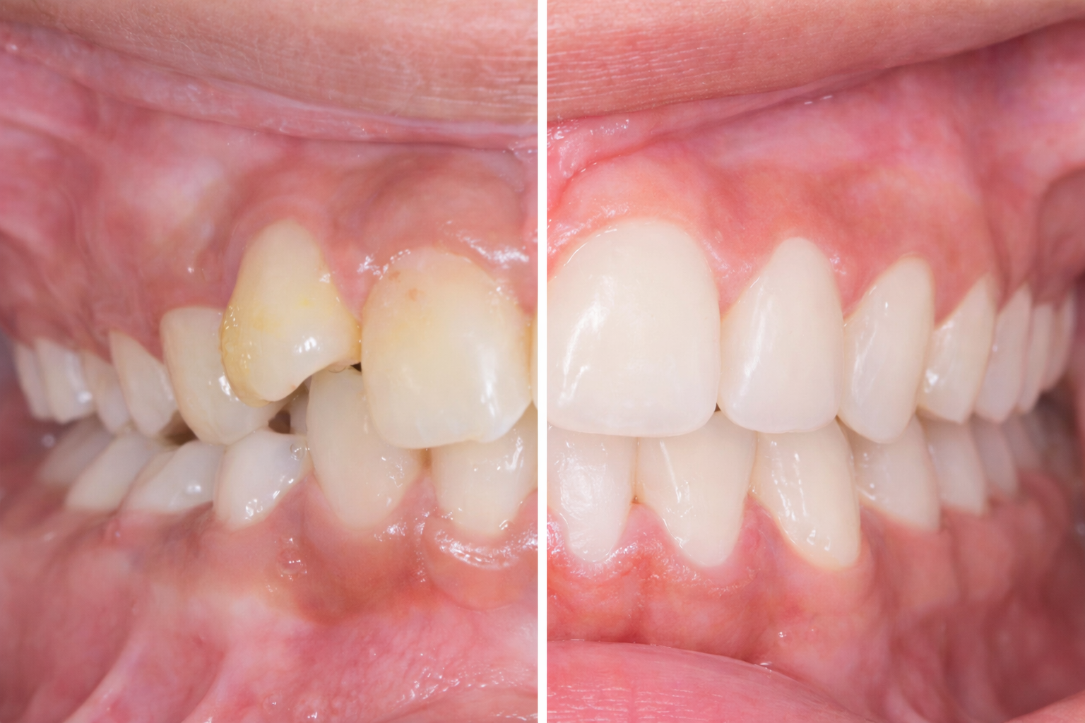
Dans le cas présent, la jeune patiente présentait une rétrognathie mandibulaire qui consiste en un décalage osseux entre la mâchoire du haut et celle du bas, trop en arrière.
Découvrez comment notre patiente a retrouvé son sourire dans ce magnifique cas “Avant / Après” !

Ce superbe résultat est le fruit du travail exceptionnel de la clinique de Genève ! Félicitations à toute l’équipe de la clinique de Genève pour son formidable travail.


En intervenant pendant la croissance chez les enfants vers l’âge de 7 ans, on atténue les problèmes orthodontiques avant qu’ils ne deviennent plus graves à l’adolescence.
Pour traiter ce décalage :
- Un premier traitement d’interception a été effectué par la Dre Caroleo
- Le Dr Simon Abi Najm s’est ensuite chargé de l’extraction des 2 prémolaires supérieures et des 2 canines inférieures
- Enfin, la patiente entama la phase d’appareillage fixe

Vous souhaitez également obtenir le sourire de vos rêves ? N’hésitez pas à prendre rendez-vous ci-dessous :




